All major surgery of the urinary tract in children more than 6 Kg by keyhole technique (Laparoscopy & Robotic) available in our unit
Pediatric Urology is a well-established subspecialty of Pediatric Surgery in the developed countries. At Apollo hospital New Delhi, we have established one of India’s first centres with comprehensive facility for evaluation and treatment of all urological disorders in babies from congenital malformations to tumours with results at par with the western world using all modern technology including endourology, laparoscopic, robotic urology and laser treatment.
At Apollo, our initial experience with robotic pediatric urology has been very pleasing and satisfactory. In the last 10 months twenty five infants and children have undergone robotic minimally invasive procedures which included robotic pyeloplasty, partial nephrectomy, nephroureterectomy, ureteric reimplantation, panhysterectomy and vaginal substitution. The indications for surgery were pelviureteric junction obstruction, vesicoureteric reflux, non-functioning moiety of duplex kidney, nonfunctiong refluxing kidney, extravesical obstructing ureterocele, Meyer-Rokitansky syndrome and completely virilising congenital adrenal hyperplasia. Postoperative period was uneventful in all with the advantage of short hospital stay, less pain and better cosmetic appearance of minimally invasive approach.
![]() |
![]() |
|
| Robotic theatre | Da vinci robotic system | |
![]() |
![]() |
|
| Robotic OT layout | Surgeon at console | |
![]() |
![]() |
|
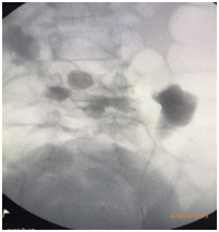
| PUJ obstruction (CECT for trauma) | Cystoscopy, retrograde pyelogram, DJ stenting |
|
![]() |
![]() |
|
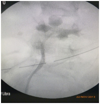
| Retrograde pyelogram | Robotic pyeloplasty | |
![]() |
![]() |
|
| One year follow-up | 3 year boy, recurrent urinary infection | |
![]() |
![]() |
|
| Non-functioning, refluxing lower pole | Robotic heminephroureterectomy | |
![]() |
![]() |
|
| Postoperative smooth recovery | Bilateral obstructing ureterocele | |
![]() |
![]() |
|
| Preoperative intravenous pyelogram | Postoperative intravenous pyelogram | |
![]() |
![]() |
|
| Scarless major uro reconstruction | PUJ obstruction in horse shoe kidney | |
![]() |
![]() |
|
| CECT | Robotic pyeloplasty | |
![]() |
![]() |
|
| Preoperative Retrograde pyelogram | Postoperative pyelogram | |
![]() |
![]() |
|
![]() |
||